Skoliozės Diagnozavimas
Ankstyvas skoliozės diagnozavimas yra labai svarbus. Anksti diagnozuota skoliozė leidžia įvertinti progresavimo riziką bei leidžia parinkti geriausius gydymo metodus ir planą. Anksti nustatytai skoliozei užtenka paciento stebėjimo, įtvaro ir/ar kineziterapijos. Skoliozei diagnozuoti dažniausiai pasitelkiami šie būdai:
Adams Testas
Vienas iš pagrindinių, paprastų ir lengvai atliekamų būdų įtarti skoliozę – tai Adams testas, dar vadinamas pasilenkimo į priekį testu. Šį testą gali atlikti tiek sveikatos priežiūros specialistas, tiek tėvai ar mokytojai, stebintys vaikų laikyseną.

Kaip atliekamas testas?
- Asmuo turi stovėti tiesiai, kojos išskėstos klubų plotyje.
- Delnai sujungiami arba suneriami prieš save.
- Tuomet reikia lėtai pasilenkti į priekį, nuleidžiant galvą ir rankas žemyn, kol nugara atsiduria lygiagrečiai grindims arba šiek tiek žemiau.
- Atlikus šį veiksmą, stebima nugara iš užpakalio – atkreipiamas dėmesys į simetriją tarp abiejų stuburo pusių.
Į ką atkreipti dėmesį?
Pasilenkus, nugaros forma turėtų būti simetriška. Tačiau jei:
- vienoje pusėje matoma aiškesnė šonkaulinė kuprelė (dažniausiai krūtinės lygmenyje),
- arba ryškesnis raumeninis volelis (apatinėje nugaros dalyje, juosmens srityje),
tai gali būti skoliozės požymiai, ir būtina kreiptis į gydytoją ortopedą ar šeimos gydytoją dėl stuburo rentgeno tyrimo.
Kodėl šis testas svarbus?
Adams testas leidžia pastebėti stuburo iškrypimus ankstyvoje stadijoje, kol jie dar nėra sukėlę stiprios kūno deformacijos, didelio stuburo iškrypimo kampo ir skausmo. Laiku pastebėta skoliozė gali būti veiksmingai valdoma – taikant fizinius pratimus, laikysenos korekciją ar, jei reikia, specialius įtvarus.
Svarbu prisiminti: Adams testas nėra galutinė diagnozė – tai pirminis testas, padedantis įtarti ar vystosi skoliozė. Jei kyla įtarimų, būtina pasikonsultuoti su specialistu.
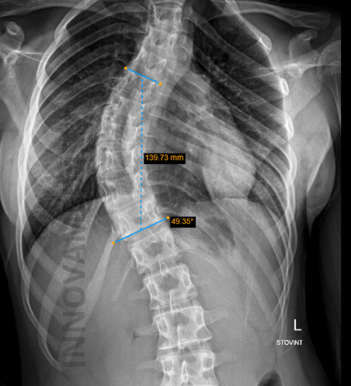
Rentgeno Tyrimas
Rentgeno tyrimas – tai pagrindinis diagnostinis metodas, leidžiantis išsamiai įvertinti stuburo būklę, ypač įtariant ar stebint skoliozę. Šis tyrimas yra ypač svarbus vaikystėje ir paauglystėje – augimo bei brendimo laikotarpiu, kai stuburas greitai vystosi ir skoliozės progresavimo rizika yra didžiausia.

Kodėl svarbu atlikti rentgeno tyrimą augančiam vaikui?
- Įvertinti kaulėjimo stadiją – stebimas kaulų brandos procesas, kuris leidžia prognozuoti, kiek dar vaikas augs ir kokia tikimybė, kad stuburo iškrypimas progresuos.
- Tiksliai nustatyti stuburo iškrypimo laipsnį – tai daroma matuojant vadinamąjį Kobo kampą (Cobb angle), kuris leidžia objektyviai įvertinti skoliozės sunkumą.
- Pastebėti slankstelių rotaciją ir kitus struktūrinius pakitimus – tai labai svarbu diferencijuojant, ar iškrypimas yra struktūrinis, ar laikysenos pobūdžio.
Kaip turi būti atliekamas tyrimas?
Atliekant rentgeno tyrimą dėl skoliozės, būtina užtikrinti, kad tyrimo kokybė būtų pakankama tinkamai diagnostikai. Todėl labai svarbu paprašyti specialisto, kad:
- Nuotrauka apimtų visą stuburą – nuo kaklinės stuburo dalies iki klubų skiauterių.
- Tyrimas būtų atliktas dvejomis kryptimis – iš nugaros (priekinė/užpakalinė projekcija) ir iš šono (šoninė projekcija).
- Tyrimas būtų atliktas stovint, kad matytųsi natūrali stuburo padėtis esant gravitacijos poveikiui.
Tinkamai atlikta rentgeno nuotrauka leidžia ne tik tiksliai nustatyti esamą būklę, bet ir sekti skoliozės eigą laikui bėgant.
Svarbūs saugumo aspektai
Nors rentgeno tyrimas yra neinvazinis ir greitas, jis susijęs su elektromagnetine radiacija, todėl:
- Tyrimas neturėtų būti atliekamas dažnai – ypač vaikams, dėl didesnio jautrumo apšvitai.
- Kiekvienas tyrimas turi būti pagrįstas medicinine būtinybe ir atliekamas tik tada, kai tai svarbu diagnozei ar gydymo planavimui.
SPINE 3D - pažangus stuburo ir laikysenos tyrimas be radiacijos
SPINE 3D - tai naujos kartos medicininė diagnostikos sistema, skirta išsamiai įvertinti stuburo padėtį, laikyseną ir kūno simetriją be jokios radiacinės apšvitos. Tai visiškai bekontaktė ir neskausminga procedūra, kuri leidžia saugiai tirti tiek vaikus, tiek suaugusiuosius, net ir pakartotinai, nes nereikia naudoti rentgeno ar kitų jonizuojančių spindulių šaltinių.

Kaip veikia SPINE 3D tyrimas?
Tyrimas atliekamas naudojant optinį skenavimą – speciali sistema projektuoja šviesos linijas ant paciento nugaros, o kamera fiksuoja paviršiaus deformacijas ir nelygumus. Gautas duomenų rinkinys apdorojamas kompiuterine programa, kuri sukuria išsamų, trimatį (3D) stuburo ir nugaros paviršiaus modelį. Šis modelis leidžia įvertinti laikysenos ypatumus ir stuburo ašių nuokrypius be fizinio kontakto ir nereikalaujant jokios specialios paciento paruošimo procedūros.
Kuo SPINE 3D išskirtinis?
- ✅ Nėra jokios radiacijos – tinka dažnam ar ilgalaikiam stebėjimui (ypač svarbu vaikams ir paaugliams).
- ✅ Tikslumas ir patikimumas – sistema leidžia aptikti net smulkius stuburo iškrypimus ar laikysenos sutrikimus.
- ✅ Greitas tyrimas – visa procedūra trunka vos kelias minutes.
- ✅ Patogu pacientui – tyrimo metu nereikia nusirengti, klijuoti žymeklių ar daryti specifinių judesių.
- ✅ Išsamūs rezultatai – sukuriamas aiškus 3D stuburo ir laikysenos vaizdas, pateikiamas lengvai interpretuojamas vertinimas.
Ką galima nustatyti SPINE 3D pagalba?
- Skoliozę, kifozę ar lordozę (šis tyrimas ypač tinkamas jau diagnozavus skoliozę ir jei reikia dažnai stebėti stuburo pokyčius).
- Asimetriją tarp pečių, dubens ar mentikaulių.
- Stuburo iškrypimo kampus ir kreives.
- Kūno laikysenos pokyčius stovint ar judant.
- Dinaminės laikysenos sutrikimus.
- Raumenų kompensacijas ir kūno svorio pasiskirstymą.
Kada rekomenduojamas SPINE 3D tyrimas?
- Vaikams ir paaugliams profilaktiniam stuburo vertinimui.
- Sportininkams – biomechaninei analizei ir traumų prevencijai.
- Pooperaciniam ar reabilitaciniam stebėjimui.
- Asmenims, patiriantiems nugaros skausmus ar įtariant stuburo iškrypimą.
- Prieš ir po kineziterapijos ar manualinės terapijos procedūrų – objektyviam rezultatų įvertinimui.
Inovatyvus sprendimas šiuolaikinei medicinai
SPINE 3D sistema leidžia ne tik greitai aptikti stuburo deformacijas, bet ir stebėti jų dinamiką ilgalaikėje perspektyvoje. Tai ypač naudinga sudarant individualias gydymo ar reabilitacijos programas. Be to, skaitmeninis tyrimo rezultatų pateikimas suteikia galimybę tiksliai palyginti pokyčius laikui bėgant.
DIERS Formetric 4D
DIERS formetric 4D – tai modernus, visiškai saugus laikysenos vertinimo metodas, pasižymintis tuo, kad atliekamas be jokios jonizuojančiosios spinduliuotės. Dėl šios priežasties jis ypač tinkamas tiek vaikams, tiek suaugusiems pacientams. Procedūra vyksta greitai, tiksliai, nesukeldama diskomforto – tyrimo metu nereikia fizinio kontakto su prietaisu ar specialių žymeklių tvirtinimo prie kūno.
Tyrimas atliekamas naudojant pažangią šviesos-optinio skenavimo technologiją, pagrįstą video rasterizacijos stereografija (VRS). Ši technologija leidžia automatiškai sukurti tikslią trimačio nugaros paviršiaus rekonstrukciją. Sistema veikia projektuodama šviesos linijas ant paciento nugaros, fiksuoja jų netolygumus, o speciali programinė įranga analizuoja šiuos duomenis ir suformuoja trimatį stuburo vaizdą.
Gautos informacijos pagrindu galima tiksliai įvertinti laikysenos simetriją, stuburo iškrypimus, rotacinius pakitimus bei kitus svarbius biomechaninius parametrus. Tai leidžia atlikti objektyvią laikysenos analizę be jokios rizikos sveikatai.
DIERS 4D Motion Lab sistema pritaikyta įvairaus sudėjimo pacientams – net iki 220 cm ūgio. Dėl didelės analizės zonos sistemos nereikia reguliuoti rankiniu būdu, todėl tyrimo procesas tampa greitesnis ir patogesnis tiek pacientui, tiek jį atliekančiam specialistui.

Magnetinis Rezonansas (MRT)
Magnetinio rezonanso tomografija (MRT) – tai pažangus, neinvazinis ir saugus radiologinis tyrimas, leidžiantis gauti itin detalius minkštųjų audinių ir stuburo struktūrų vaizdus. Tyrimas atliekamas naudojant stiprų magnetinį lauką ir radijo bangas, todėl nereikia jokios jonizuojančiosios spinduliuotės, o tai ypač svarbu tiriant vaikus ir paauglius.
MRT tyrimas dažniausiai skiriamas tais atvejais, kai pastebimas labai didelis stuburo iškrypimas ankstyvame amžiuje arba kai yra įtarimų dėl gilesnių priežasčių, galinčių sukelti skoliozę ar kitus stuburo pakitimus. Pavyzdžiui, gydytojai gali rekomenduoti MRT, jei:
- stuburo iškrypimas pasireiškia labai anksti (dar iki 10 metų),
- iškrypimas yra labai didelio laipsnio ar greitai progresuojantis,
- įtariama įgimta skoliozė (dėl stuburo formavimosi sutrikimų),
- yra neurologinių simptomų – silpnumas, tirpimas, skausmas, eisenos sutrikimai,
- reikalingas detalus stuburo nervų šaknelių ar nugaros smegenų įvertinimas.
Šis tyrimas ypač naudingas įtariant intraspinalines anomalijas, tokias kaip:
- siringomielija (skysčio pripildytos ertmės nugaros smegenyse),
- nugaros smegenų lipomas,
- tethered cord sindromą (nugaros smegenų tempimą),
- kitus įgimtus arba įgytus struktūrinius pokyčius.
Kaip vyksta tyrimas?
Procedūros metu pacientas paguldomas ant stalo, kuris įvažiuoja į MRT aparatą – tunelio formos įrenginį. Tyrimas trunka apie 20–45 minutes, priklausomai nuo tiriamos srities. Vaikas turi būti ramus ir nejudėti viso tyrimo metu, todėl mažiems vaikams kartais taikoma lengva nejautra (sedacija). Tyrimas yra neskausmingas, tačiau gali būti lydimas triukšmo – naudojamos ausinės arba ausų kištukai.
Privalumai:
- labai tikslūs minkštųjų audinių ir nugaros smegenų vaizdai,
- saugus – nėra jonizuojančiosios spinduliuotės,
- leidžia anksti nustatyti sunkias patologijas,
- padeda planuoti tolimesnį gydymą ar stebėjimą.
Svarbu žinoti:
- Tyrimas netinka pacientams, turintiems tam tikrus metalinius implantus ar širdies stimuliatorius.
- Prieš tyrimą būtina informuoti gydytoją apie bet kokius sveikatos ypatumus.
- Vaikams svarbu psichologiškai pasiruošti – paaiškinti, kaip tyrimas vyks, kad sumažėtų baimė.
Turite klausimų? Jums reikia pagalbos? Norite užsiregistruoti?
Susisiekite su mumis ir mūsų specialistai atsakys į visus Jūsų klausimus.
Susisiekime